Casos Clínicos
\
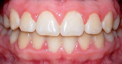
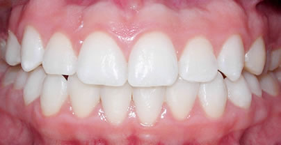
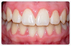
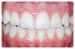
Blanqueamiento Dental
\
Caso 1
Change your Language
Choisissez votre langue
Blanqueamiento Dental
Caso 1
Caso 2
Coronas de Porcelana
Caso 1
Caso 2
Carillas de Porcelana
Caso 1
Caso 2
Implantes Dentales
Caso 1
Caso 2
Caso 3
Antes
Blanqueador
Blanqueamiento en 45 minutos
Después
DENTAL LIFE ESTA ASOCIADA A: