Cas Cliniques
\
Couronnes de porcelaine
\
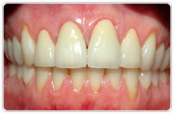
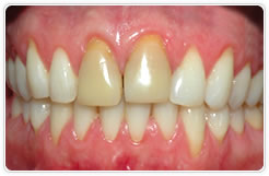
Cas 2 - metal-libres couronnes
Change your Language
Cambiar el idioma
Blanchiement des tends
Cas 1
Cas 2
Couronnes de porcelaine
Cas 1
Cas 2
Placages de porcelaine
Cas 1
Cas 2
Implants Dentaires
Cas 1
Cas 2
Cas 3
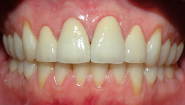
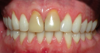
Avant
Metal-libres couronnes
Après
DENTAL LIFE ESTA ASOCIADA A: