Clínical Cases
\
Porcelain Crowns
\
Case 1 - Metal-free Crowns
Cambiar el idioma
Choisissez votre langue
Dental Whitening
Case 1
Case 2
Porcelain Crowns
Case 1
Case 2
Porcelain Veneers
Case 1
Case 2
Dental Implants
Case 1
Case 2
Case 3
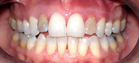
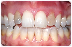
Before whitening
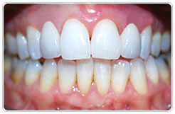
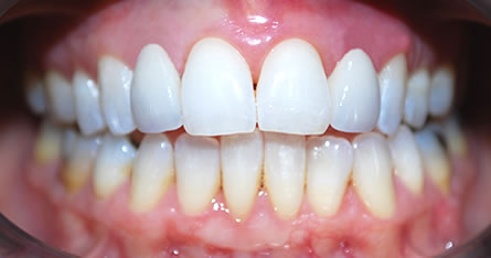
After bleaching
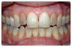
Metal-free Crowns
Metal-free crowns installed
DENTAL LIFE IS ASSOCIATED WITH: