Clinical Cases
\
Dental Implants
\
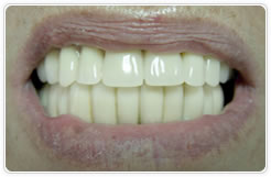
Case 3 - Total
Prosthesis
Cambiar el idioma
Choisissez votre langue
Dental Whitening
Case 1
Case 2
Porcelain Crowns
Case 1
Case 2
Porcelain Veneers
Case 1
Case 2
Dental Implants
Case 1
Case 2
Case 3
Installed Implants
Metal structure
Prosthetics installed
Finishing
DENTAL LIFE IS ASSOCIATED WITH: