Clinical Cases
\
Dental Implants
\
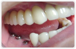
Case 2 - Fixed Prosthesis
Change your Language
Choisissez votre langue
Dental Whitening
Case 1
Case 2
Porcelain Crowns
Case 1
Case 2
Porcelain Veneers
Case 1
Case 2
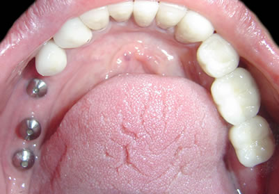
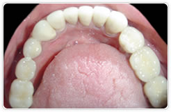
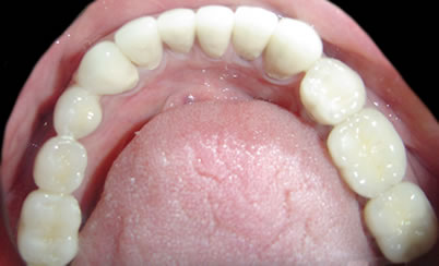
Dental Implants
Case 1
Case 2
Case 3
Screws healing
Completed Side
Screws healing
Completed occlusal
DENTAL LIFE IS ASSOCIATED WITH: