Clinical Cases
\
Dental Implants
\
Case 1 - Unitary Implant
Cambiar el idioma
Choisissez votre langue
Dental Whitening
Case 1
Case 2
Porcelain Crowns
Case 1
Case 2
Porcelain Veneers
Case 1
Case 2
Dental Implants
Case 1
Case 2
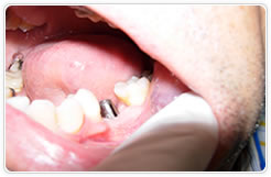
Case 3
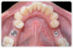
Pillar right
Pillar left
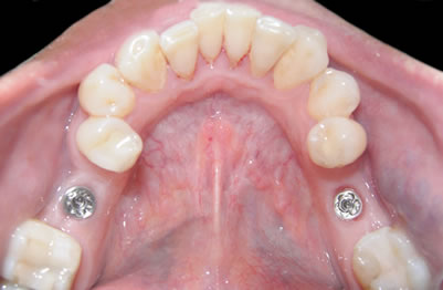
Placed Implants
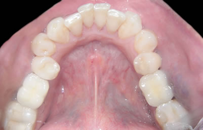
Completed occlusal
DENTAL LIFE IS ASSOCIATED WITH: