Clinical Cases
\
Porcelain veneers
\
Case 1
Cambiar el idioma
Choisissez votre langue
Dental Whitening
Case 1
Case 2
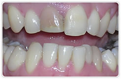
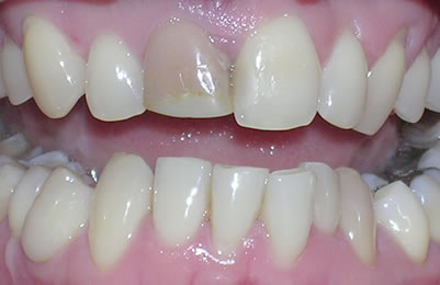
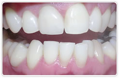
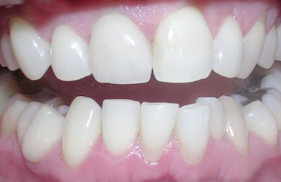
Porcelain Crowns
Case 1
Case 2
Porcelain Veneers
Case 1
Case 2
Dental Implants
Case 1
Case 2
Case 3
Before
After
DENTAL LIFE IS ASSOCIATED WITH: